lunes, 7 de noviembre de 2022

Útero de rata (Rattus norvegicus)

 


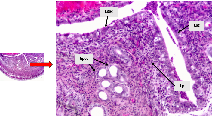
Corte histológico (coloración H-E, aumento 40X) de una porción de Útero de rata (Rattus norvegicus). En la imagen se observa el endometrio y se aprecia que el epitelio que lo reviste varía de simple columnar (Esc)  a pseudoestratificado columnar (Epsc),  la lámina propia (Lp) es de tejido conectivo colágeno laxo y contiene numerosas células,  las glándulas uterinas (Gu) son aparentes y presentan un revestimiento que varía de células cuboides a columnares.

No hay comentarios:

Publicar un comentario